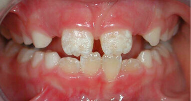
SÃO PAULO: Estima-se que os defeitos do esmalte dentário (DEDs) afetem cerca de 20% das crianças em todo o mundo, e casos como a fratura dos dentes das crianças como resultado da mastigação são de grande preocupação para os médicos. Um estudo recente conduzido por pesquisadores da Universidade de São Paulo descobriu que os anti-inflamatórios comumente prescritos para crianças podem estar associados à condição pouco compreendida.
Pesquisadores da Faculdade de Odontologia de Ribeirão Preto e da Faculdade de Ciências Farmacêuticas da universidade estudaram os efeitos dos anti-inflamatórios não esteroides (AINEs) na biomineralização do esmalte de camundongos machos. Dentes extraídos que foram tratados com os AINEs celecoxib e indometacina por um período de 28 dias apresentaram diminuição dos níveis de cálcio e fosfato e menor densidade mineral, além de fraturarem com mais facilidade. Crucialmente, os pesquisadores encontraram nos dentes alterações nas proteínas que são importantes para a biomineralização do esmalte e diferenciação celular. As descobertas, escreveram os pesquisadores, aludem à possibilidade de que os AINEs possam ter um efeito causal no desenvolvimento de DEDs.
“Até agora estivemos totalmente no escuro” – Dr. Francisco Paula-Silva, Universidade de São Paulo
Um artigo da Fundação de Amparo à Pesquisa do Estado de São Paulo sobre a pesquisa observou que a curiosidade dos pesquisadores foi aguçada pelo fato de as DEDs ocorrerem nos primeiros anos de vida, quando são frequentes os enjoos e a febre alta. “Essas doenças são normalmente tratadas com AINEs, que inibem a atividade da ciclooxigenase [COX] e reduzem a produção de prostaglandina”, disse o autor correspondente Dr. Francisco Paula-Silva, professor associado de odontopediatria na universidade, à fundação. “No entanto, sabe-se que a COX e a prostaglandina são fisiológicas para o esmalte dentário e, portanto, nos perguntamos se essas drogas interfeririam na formação normal dessa estrutura”, acrescentou.
“Neste momento, o estudo pelo menos nos oferece uma pista sobre a identidade de um novo jogador que pode estar envolvido no desenvolvimento de DEDs. Até agora estivemos totalmente no escuro”, disse a Dra. Paula-Silva.
Os pesquisadores agora planejam realizar um estudo clínico para confirmar os resultados. “Vamos analisar o histórico médico das crianças com DEDs e o uso dessas drogas, e faremos um estudo clínico que correlacionará os dois conjuntos de dados para ver se a mesma coisa acontece com os humanos. Nesse caso, podemos fazer recomendações sobre quais medicamentos não devem ser usados para quais pacientes. Também podemos ajudar a elaborar um protocolo de tratamento adequado no futuro”, disse Paula-Silva à fundação.
O estudo, intitulado “Enamel biomineralization under the effects of indomethacin and celecoxib non-steroidal anti-inflammatory drugs”, foi publicado online no Scientific Reports em 22 de setembro de 2022, antes da inclusão em uma edição.
BORDEAUX, França: Pesquisas com crianças com obesidade grave ou complexa sugerem que a saúde bucal é frequentemente negligenciada, apesar de sua ...
PITTSBURGH, EUA: Prescrever medicamentos de alto risco em odontologia pediátrica ainda é incomum, mas acarreta implicações significativas para a ...
CLEVELAND, EUA: Gerenciamento seguro e eficaz da dor é um tema importante para os dentistas. Agentes analgésicos opioides e não opioides estão entre os ...
HALLE (SAALE), Alemanha: O uso de implantes médicos pode ser dificultado por reações inflamatórias crônicas, que podem resultar em falha do ...
ESTRASBURGO, França: A ansiedade odontológica é uma preocupação generalizada na odontopediatria, levando frequentemente à interrupção do tratamento ...
BRASÍLIA/DF: No planejamento de serviços de cuidados primários de saúde oral, o custo das implicações em termos de adoção de novas práticas de ...
CLEVELAND, Ohio, EUA: Pesquisadores da Escola de Medicina Dentária da Universidade Case Western Reserve descobriram que cerca de 7% das crianças entre 9 e...
RIO DE JANEIRO: Uma nova pesquisa brasileira sugeriu que crianças com defeitos cardíacos são mais propensas a terem uma saúde ...
DIAMANTINA, Brasil: Uma nova pesquisa brasileira sugeriu que fatores perinatais, como o aleitamento materno, estão relacionados com o desenvolvimento...
CANTERBURY, Reino Unido: Uma nova pesquisa conduzida na Universidade de Kent, em Canterbury, encontrou relação entre as taxas de crescimento ...
BUFFALO, NY, EUA: À medida que o campo da medicina continua a evoluir, a American Dental Association (ADA) reconheceu a importância de integrar o ...
Webinar ao vivo
ter. 12 maio 2026
14:00 BRT (Sao Paulo)
Webinar ao vivo
qui. 14 maio 2026
13:00 BRT (Sao Paulo)
Webinar ao vivo
qui. 14 maio 2026
15:00 BRT (Sao Paulo)
Prof. Hani Ounsi DDS PhD FICD
Webinar ao vivo
ter. 19 maio 2026
12:00 BRT (Sao Paulo)
Webinar ao vivo
ter. 19 maio 2026
14:00 BRT (Sao Paulo)
Prof. Dr. med. dent. Ivo Krejci
Webinar ao vivo
qua. 20 maio 2026
8:00 BRT (Sao Paulo)
Dr. Graham Carmichael BDSc (Hons), DClinDent (Pros), FRACDS, Dr. Robert Gottlander DDS
Webinar ao vivo
qua. 20 maio 2026
10:00 BRT (Sao Paulo)
To post a reply please login or register