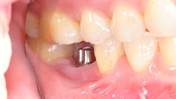
UPPSALA, Suécia: O sucesso de implantes dentários e ortopédicos depende da integração no tecido ósseo adjacente. Uma pesquisa de grupo na Universidade de Uppsala na Suécia desenvolveu uma nova cobertura que apresentou melhora na integração óssea e previne na rejeição dos implantes.
Tentativas anteriores, conduzidas no Institut Laue-Langevin, um centro de pesquisa internacional baseado em Grenoble na França, demonstraram que as superfícies de óxido de titânio cobertas com um gel de bifosfonato de hialurônico modificado atam-se na proteína 2 morfogenética óssea, que depois é liberada de modo controlado uma vez que a superfície entra em contato com os iônios de cálcio. De acordo com os pesquisadores, esse processo pode estimular o crescimento ósseo ao redor do implante.
Atualmente, os pesquisadores estão planejando testar materiais similares para implantes de metal em ensaios clínicos para transferir os resultados na aplicação clínica.
“Nós consideramos que os materiais serão utilizados na medicina para ajustar o processo de cura no osso futuramente”, disse o Prof. Dmitri Ossipov, autor do estudo e professor associado da universidade.
O estudo, intitulado “Estratégia de revestimento inteligente de polímero para implantes de titânio” (Polymeric smart coating strategy for titanium implants), foi publicado na edição de Março da revista Advanced Engineering Materials.
VANCOUVER, British Columbia, Canada: Devido às potenciais complicações associadas aos autoenxertos, existe a necessidade de estruturas de tecido ósseo ...
BREMEN, Alemanha: Um milhão de implantes dentários são colocados a cada ano na Alemanha, e muitas vezes eles não tem sucesso ...
NOVA YORK, EUA: Em uma etapa que pode ajudar a redefinir o tratamento da periodontite, os pesquisadores da start up Periomics Care da Faculdade de ...
KUALA LUMPUR, Malásia: A proporção mundial de pessoas acima dos 60 anos de idade está aumentando mais que a de qualquer outra ...
CAMBRIDGE, Massachusetts, EUA: A fragilização por hidrogênio causa falhas súbitas e caras de componentes metálicos em uma ampla gama de indústrias. ...
LOS ANGELES, EUA: Estudos recentes mostrando um aumento em pacientes com periodontite, bem como estudos relacionando-os com a doença de Alzheimer, levaram ...
SÃO PAULO/SP: Em uma descoberta que pode ajudar na identificação precoce do carcinoma de células escamosas oral (OSCC), pesquisadores no Brasil ...
DURHAM, N.C., EUA: Uma nova pesquisa mostrou que o bisfenol A (BPA), uma substância química comumente utilizada em plásticos e na ...
LEEDS, Inglaterra: Um novo estudo explorando as disparidades no acesso ao atendimento odontológico do National Health Service (NHS) em diferentes bairros ...
SILVER SPRING, Maryland, EUA: A Food and Drug Administration (FDA) dos EUA finalizou as diretrizes sobre estudos em animais para dispositivos de materiais ...
Webinar ao vivo
ter. 19 maio 2026
12:00 BRT (Sao Paulo)
Webinar ao vivo
ter. 19 maio 2026
14:00 BRT (Sao Paulo)
Prof. Dr. med. dent. Ivo Krejci
Webinar ao vivo
qua. 20 maio 2026
8:00 BRT (Sao Paulo)
Dr. Graham Carmichael BDSc (Hons), DClinDent (Pros), FRACDS, Dr. Robert Gottlander DDS
Webinar ao vivo
qua. 20 maio 2026
10:00 BRT (Sao Paulo)
Webinar ao vivo
qua. 20 maio 2026
12:00 BRT (Sao Paulo)
Webinar ao vivo
qua. 20 maio 2026
14:00 BRT (Sao Paulo)
Prof. Dr. med. dent. Tim Joda PhD, MSc, eMBA
Webinar ao vivo
qui. 21 maio 2026
13:00 BRT (Sao Paulo)
Dr. Leonardo Muniz DDS, MSC
To post a reply please login or register