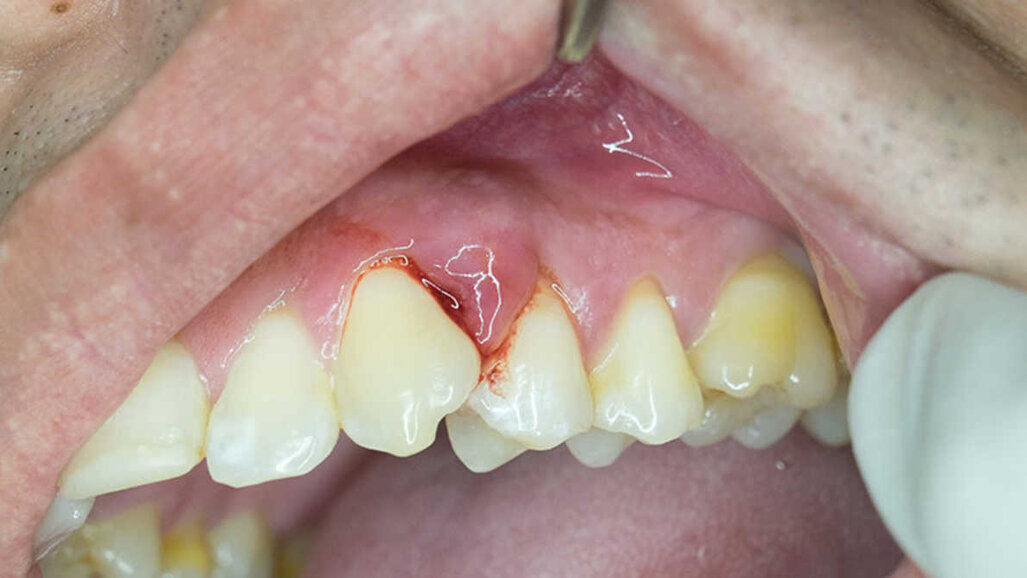
NOVA YORK, EUA: Em uma etapa que pode ajudar a redefinir o tratamento da periodontite, os pesquisadores da start up Periomics Care da Faculdade de Odontologia da Universidade de Nova York (NYU Dentistry), receberam uma bolsa de um ano para desenvolver uma tira oral e gel para tratar a doença. A doação, que começou em 1º de agosto de 2019 e totaliza US$ 224.000, foi fornecida pelo Instituto Nacional de Pesquisa Odontológica e Craniofacial e será usada especificamente para ajudar a prevenir a perda óssea em pessoas com diabetes tipo 2.
Com periodontite cinco vezes mais provável em pacientes com diabetes tipo 2 do que naqueles sem, os pesquisadores esperam que eles possam desenvolver um tratamento que não apenas melhore os resultados, mas também reduza a dor. "Existe um grande vazio em produtos terapêuticos para doenças periodontais que visam o mecanismo subjacente da doença - e são fáceis de usar por dentistas e pacientes", disse a Dra. Angela Kamer, Professora Associada de Periodontologia e Implantodontia na NYU Dentistry e consultora no projeto.
Em um estudo anterior realizado por pesquisadores da Periomics Care, os cientistas descobriram que um metabólito chamado succinato é elevado em pessoas com diabetes e ativa o receptor 1 de succinato (SUCNR1). O estudo demonstrou que o bloqueio da ativação do SUCNR1 controla a inflamação e a perda óssea periodontal, sugerindo que o SUCNR1 seria um alvo útil para o desenvolvimento de terapias para evitar a perda óssea periodontal. Com isso em mente, uma nova equipe de pesquisadores visa desenvolver uma formulação de tira oral e gel de liberação sustentada para atingir a proteína.
Segundo os pesquisadores, a tira e o gel orais usarão material biodegradável preenchido com um antagonista de SUCNR1, um método protegido por uma patente provisória nos EUA. A tira seria implantada por um dentista, enquanto os pacientes aplicariam o gel tópico nas gengivas. "O desenvolvimento de uma formulação de tira ou gel oral biodegradável que possa ser administrada por abordagens menos invasivas para aumentar ou substituir o tratamento convencional pode ser um grande passo à frente no tratamento da doença periodontal", disse o Dr. Deepak Saxena, Professor Associado de Ciência Básica e Biologia Craniofacial na NYU Dentistry e Diretor da Periomics Care.
Etiquetas:
LOS ANGELES, EUA: Estudos recentes mostrando um aumento em pacientes com periodontite, bem como estudos relacionando-os com a doença de Alzheimer, levaram ...
BREMEN, Alemanha: Um milhão de implantes dentários são colocados a cada ano na Alemanha, e muitas vezes eles não tem sucesso ...
BETHLEHEM, Pa., EUA: Formas agressivas de periodontite associadas a Aggregatibacter actinomycetemcomitans são muitas vezes difíceis de tratar com a ...
BIRMINGHAM, Reino Unido: A ligação entre a doença periodontal e uma série de condições sistêmicas de saúde, como doenças cardiovasculares, diabetes...
SÃO PAULO/SP: Em uma descoberta que pode ajudar na identificação precoce do carcinoma de células escamosas oral (OSCC), pesquisadores no Brasil ...
ESPOO, Finlândia: Para pôr um implante, os profissionais de Odontologia precisam primeiro localizar o canal mandibular, o que normalmente é feito usando ...
LOS ANGELES, EUA: Com casos relatados que chegam a 19%, a batalha contra a peri-implantite deixou médicos e investigadores constantemente à procura de ...
SÃO PAULO/SP: A Baumer apresentou no CIOSP 2015 sua linha de enxertos ósseos Genius, que permitem a regeneração óssea. ...
SÃO PAULO/SP: A Baumer apresentou no CIOSP 2015 sua linha de enxertos ósseos Genius, que permitem a regeneração óssea. ...
UMEÅ, Suécia: No maior estudo do gênero, pesquisadores do Instituto de Odontologia da Universidade de Umeå, na Suécia, e da Bristol Dental School, no ...
Webinar ao vivo
ter. 19 maio 2026
12:00 BRT (Sao Paulo)
Webinar ao vivo
ter. 19 maio 2026
14:00 BRT (Sao Paulo)
Prof. Dr. med. dent. Ivo Krejci
Webinar ao vivo
qua. 20 maio 2026
8:00 BRT (Sao Paulo)
Dr. Graham Carmichael BDSc (Hons), DClinDent (Pros), FRACDS, Dr. Robert Gottlander DDS
Webinar ao vivo
qua. 20 maio 2026
10:00 BRT (Sao Paulo)
Webinar ao vivo
qua. 20 maio 2026
12:00 BRT (Sao Paulo)
Webinar ao vivo
qua. 20 maio 2026
14:00 BRT (Sao Paulo)
Prof. Dr. med. dent. Tim Joda PhD, MSc, eMBA
Webinar ao vivo
qui. 21 maio 2026
13:00 BRT (Sao Paulo)
Dr. Leonardo Muniz DDS, MSC