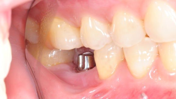
BIRMINGHAM, Alabama, EUA: Atualmente, os dentistas dos Estados Unidos e outras partes do mundo oferecem uma ampla gama de serviços. No entanto, tem sido feita uma pesquisa limitada sobre os procedimentos específicos que são realizados mais comumente por esse grupo. Agora, um novo estudo mostrou que tratamentos restauradores nonimplant, procedimentos estéticos, e extrações são rotineiramente realizados pela maioria dos dentistas. Mais de 60% também oferecem tratamentos de implante.
A fim de determinar os dez procedimentos odontológicos mais comumente realizados, os dados de 2.367 dentistas da Rede Nacional de Pesquisas Baseadas em Práticas Odontológicas dos EUA foram coletados por meio de um questionário.
A maioria dos participantes afirmou que eles realizam tratamentos restauradores sem implantes (96%), procedimentos estéticos (59%), e extrações (64%) regularmente. Quase 60% disseram que também realizam endodontia terapêutica. Enquanto tratamentos de ortodontia e cirurgia periodontal não eram comuns entre dois terços dos participantes, mais de 60% declararam que executam procedimentos de implante dentário ocasionalmente ou regularmente.
O estudo também constatou que mais dentistas do sexo masculino realizam procedimentos de endodontia, tratamentos de implante, tratamentos e terapia periodontal cirúrgica, do que dentistas do sexo feminino realizam.
Como um número considerável de dentistas entrevistados referiram realizar pelo menos alguns procedimentos endodônticos e periodontais cirúrgicos, é possível que a prestação de tais serviços seja um meio para os dentistas se adaptarem a disponibilidade de dentistas especialistas e globalizar a demanda por serviços em suas práticas, disseram os pesquisadores.
"Essas descobertas podem ter implicações para a forma como dentistas respondem a alteração do cenário da economia em odontologia e utilização de assistência odontológica, a demografia de populações de pacientes, o escopo da prática, alterando os modelos de entrega, acesso aos cuidados de saúde, e a sua evolução nos cuidados primários", concluíram.
O estudo, intitulado "Fornecimento de Procedimentos Odontológicos Específicos por Dentistas Gerais na Prática Odontológica Nacional Baseada em Rede de Pesquisa: Resultados do questionário" (Provision of Specific Dental Procedures by General Dentists in the National Dental Practice-Based Research Network: Questionnaire Findings), foi publicado on-line em 22 de janeiro no BMC Oral Health journal. O estudo foi realizado por pesquisadores da Universidade do Alabama em Birmingham, em colaboração com outras instituições de investigação científica em todos os EUA.
OAK BROOK, Illinois, EUA: Os resultados de um estudo publicado recentemente indicaram que um número considerável de adultos dos Estados Unidos...
SELBYVILLE, Del., EUA: Um novo relatório sobre o mercado global de implantes dentários apresenta as principais tendências do setor em todo o produto, ...
FORT LAUDERDALE, Flórida, EUA: A Patent, especialista suíça em implantes dentários, foi nomeada “Fabricante de Implantes Dentários do Ano na ...
AUCKLAND, Nova Zelândia: Além de uma persistente crise odontológica, a Nova Zelândia enfrenta uma perda líquida anual de dezenas de milhares de jovens ...
MIAMI, EUA: Yomi, um dispositivo cirúrgico assistido por robô desenvolvido pela startup de saúde Neocis, obteve autorização da FDA para procedimentos ...
BAR-LEV INDUSTRIAL PARK, Israel/Colônia, Alemanha: A produtora de implantes israelense MIS Implants Technologies anunciou que os seus produtos ...
BAR-LEV INDUSTRIAL PARK, Israel/Colônia, Alemanha: A produtora de implantes israelense MIS Implants Technologies anunciou que os seus produtos ...
CHICAGO, EUA: Pesquisa do Instituto de Política de Saúde da Associação Odontológica Americana (HPI- sigla em inglês) mostra que os jovens clínicos ...
ATLANTA, EUA: Embora a prevalência global da cárie dentária tenha diminuído nos Estados Unidos ao longo das últimas ...
HATTERSHEIM AM MAIN, Alemanha: Não importa o quão limpa e estéril seja a sua prática odontológica, a contaminação durante o estágio experimental das...
Webinar ao vivo
ter. 19 maio 2026
12:00 BRT (Sao Paulo)
Webinar ao vivo
ter. 19 maio 2026
14:00 BRT (Sao Paulo)
Prof. Dr. med. dent. Ivo Krejci
Webinar ao vivo
qua. 20 maio 2026
8:00 BRT (Sao Paulo)
Dr. Graham Carmichael BDSc (Hons), DClinDent (Pros), FRACDS, Dr. Robert Gottlander DDS
Webinar ao vivo
qua. 20 maio 2026
10:00 BRT (Sao Paulo)
Webinar ao vivo
qua. 20 maio 2026
12:00 BRT (Sao Paulo)
Webinar ao vivo
qua. 20 maio 2026
14:00 BRT (Sao Paulo)
Prof. Dr. med. dent. Tim Joda PhD, MSc, eMBA
Webinar ao vivo
qui. 21 maio 2026
13:00 BRT (Sao Paulo)
Dr. Leonardo Muniz DDS, MSC
To post a reply please login or register