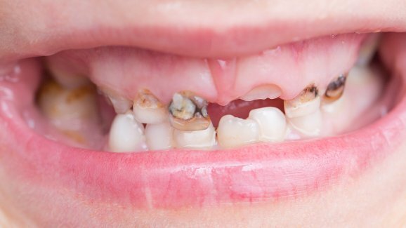
ATLANTA, EUA: Embora a prevalência global da cárie dentária tenha diminuído nos Estados Unidos ao longo das últimas décadas, um relatório recentemente publicado pelos Centros para o Controle e Prevenção de Doenças indica que cárie em escolares e adolescentes predomina, e que um número considerável não recebeu tratamento adequado. Além disso, o relatório mostra que as disparidades entre os diferentes grupos étnicos persistem no país.
Utilizando dados da Pesquisa Nacional de Saúde e Nutrição, os pesquisadores da CDC descobriram que cerca de 37% das crianças com idade entre 2 e 8 anos tinha cárie dentária em dentes primários no período de 2011 a 2012, e que 14% deles tinham cáries não tratadas. Enquanto menos de um terço das crianças brancas não-hispânicas (31%) tiveram cárie dentária não tratada, o número foi significativamente maior nos hispânicos (46%) e crianças negras não-hispânicas (44%).
A porcentagem de crianças que sofrem de cárie dentária não tratada foi menor naqueles com idade entre 6 e 11 anos (6%), mas as diferenças étnicas mantiveram-se. A prevalência de dentes não tratados foi maior em crianças hispânicas (9%) em comparação com não-hispânicas brancas (4%).
Segundo o CDC, cerca de 58% dos adolescentes com idades entre 12 e 19 anos tiveram cárie dental em seus dentes permanentes em 2011 e 2012, e 15% das pessoas tinha cárie não tratada. Para essa faixa etária, cáries sem tratamento também foram maiores em crianças não-hispânicas negras (21%) do que nas não-hispânicas e adolescentes (13%).
O relatório, intitulado "Cárie Dentária e a Prevalência do Selador em Crianças e Adolescentes nos Estados Unidos, 2011-2012," foi publicado na edição de Dados Resumida de Março do Centro Nacional de Estatísticas de Saúde. Resumos NCHS são publicações estatísticas que fornecem informações sobre temas de saúde pública atual em um formato simples.
Estudos recentes mostram que mais de quatro em cada dez crianças australianas com idades compreendidas entre 5 e 10 anos têm cáries que ...
SINGAPURA: Uma nova pesquisa da Universidade Nacional de Singapura (NUS) e do Singapure Institute for Clinical Sciences of the Agency for Science, ...
JODHPUR, Índia: Um estudo sobre a saúde bucal de crianças com necessidades especiais de saúde no distrito de Jodhpur, na província de Rajasthan, ...
OAK BROOK, Ill., EUA: No mês da Celebração Nacional de Saúde Dental da Criança, a corporação de ...
LEIPZIG, Alemanha: Comunidades rurais nos EUA enfrentam uma crescente crise de saúde bucal, com a diminuição do acesso à água fluoretada e aos cuidados...
WELLINGTON, Nova Zelândia: O sistema público de saúde bucal da Nova Zelândia enfrenta uma pressão crescente, com um número cada vez maior de crianças...
TEERÃ, Irã: Uma nova análise dos dados do Estudo Global da Carga de Doenças de 2021 mostra que, embora alguns indicadores de cárie dentária tenham ...
CAIRNS, Austrália: Uma vez que uma medida mandatória, a fluoretação do abastecimento local da água em Queensland ...
AUCKLAND, Nova Zelândia: O número de crianças na Nova Zelândia que necessitam de cirurgia dentária está a crescer por uma série de razões, entre ...
LONDRES, Reino Unido: Imunodeficiência primária (PID- sigla em inglês) é caracterizada por uma parte ausente ou com funcionamento insuficiente do ...
Webinar ao vivo
ter. 19 maio 2026
12:00 BRT (Sao Paulo)
Webinar ao vivo
ter. 19 maio 2026
14:00 BRT (Sao Paulo)
Prof. Dr. med. dent. Ivo Krejci
Webinar ao vivo
qua. 20 maio 2026
8:00 BRT (Sao Paulo)
Dr. Graham Carmichael BDSc (Hons), DClinDent (Pros), FRACDS, Dr. Robert Gottlander DDS
Webinar ao vivo
qua. 20 maio 2026
10:00 BRT (Sao Paulo)
Webinar ao vivo
qua. 20 maio 2026
12:00 BRT (Sao Paulo)
Webinar ao vivo
qua. 20 maio 2026
14:00 BRT (Sao Paulo)
Prof. Dr. med. dent. Tim Joda PhD, MSc, eMBA
Webinar ao vivo
qui. 21 maio 2026
13:00 BRT (Sao Paulo)
Dr. Leonardo Muniz DDS, MSC
To post a reply please login or register