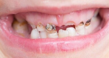
Estudos recentes mostram que mais de quatro em cada dez crianças australianas com idades compreendidas entre 5 e 10 anos têm cáries que afetam a sua dentição primária, é evidente que bons hábitos de saúde oral precisam ser praticados desde uma idade muito precoce. Dado que a doença bucal pode causar potencialmente danos permanentes, uma abordagem preventiva é essencial. O Dental Tribune Online falou com o Professor David Manton, Chairman do Comitê de Saúde Bucal da Associação Dentária Australiana sobre a importância de check-ups dentais para crianças e porque recentes alterações legislativas na Austrália podem afetar isto negativamente.
Dental Tribune Online: Prof. Manton, quantas vezes por ano as crianças deverão visitar o dentista a cada ano?
O prof. David Manton: A regularidade de visitas ao dentista para crianças depende de sua saúde oral. Para começar, a criança deve visitar um dentista no prazo de seis meses a contar da erupção do primeiro dente, então cerca de doze meses de idade. Isto é para permitir que o dentista examine a boca da criança e discuta com os pais como manter a saúde oral da criança. Isso incluiria questões tais como a dieta e higiene oral. Depois o tempo entre as visitas geralmente varia entre seis e doze meses, embora algumas crianças possam visitar mais frequentemente, como uma criança com alto risco de cárie dentária.
Quais são alguns dos principais contribuintes para a má saúde oral de crianças na Austrália?
O principal fator que afeta a saúde oral em crianças é a cárie dentária. Cerca de cinquenta por cento das crianças têm cavidades pelos 6 anos de idade. O principal fator causal é a dieta – principalmente o consumo regular de açúcares na dieta. Estes açúcares podem ser óbvios como doces e pirulitos, mas também podem estar escondidos em alimentos e bebidas, como os refrigerantes, frutas secas e processadas, bebidas a base de soja e leite aromatizado. Os açúcares incentivam o supercrescimento de bactérias causadoras de deterioração – causando bactéria na placa sobre os dentes e estes produzem ácidos que enfraquecem os dentes e levar às cáries.
Escovar os dentes com flúor diminui a quantidade de deterioração que ocorre e melhora a saúde gengival, portanto a falta de escovação pode conduzir ao oposto. Cerca de um sexto das crianças terão dentes afetados por defeitos de desenvolvimento que podem levar a um aumento no risco de deterioração, portanto a detecção precoce dessas falhas pode ajudar a prevenir o desenvolvimento de cáries.
O Chield Dental Benefits Schedule (CDBS), que permite aos beneficiários elegíveis o acesso aos cuidados de saúde dentária para os seus filhos, tem sido recentemente baixado de uma subvenção de US$1.000 por criança com mais de dois anos para um$700. A quem as alterações para os CDBS afetarão principalmente?
Estas alterações para os CDBS significam que uma em cada cinco crianças não serão capazes de ter todas as suas necessidades de tratamento. Para as crianças com altas necessidades de cuidados dentários, isto significa que os pais terão que desembolsar em muitos casos e pode levar as crianças a não receberem a atenção que eles merecem. Enquanto a Associação Dentária Australiana foi favorável a um ajuste do cap baseado nas conclusões do Report on the Third Review of the Dental Benefits Act 2008, parece não haver evidências que sustentem uma queda de 30 por cento. Não é claro o que acontecerá com as crianças que necessitam de tratamento a um custo acima de US$700 ao longo de dois anos. Os processos precisam ser colocados no lugar para garantir que essas crianças não acabem sendo parte de uma longa lista de espera dental no sistema público odontológico.
Quão importante é a prevenção na busca de uma vida inteira de boa higiene oral para a saúde?
A manutenção da saúde bucal é uma parte vital da saúde global. Doenças orais como cárie dentária e doença periodontal têm frequentemente efeitos irreversíveis sobre os dentes e gengivas. É por isso que a detecção precoce de risco de doença e prevenção antes que tais danos ocorram é tão importante. Quando um dente se desenvolve a cárie, será mais fraco, mesmo após que a cárie seja tratada. Lesões profundas podem levar a problemas com a polpa dental e resultar em tratamento do canal radicular ou extração. À doença periodontal que é permitida progredir irá conduzir à destruição do osso de suporte do dente e pode eventualmente levar à perda do dente.
Cuidados preventivos incluem o estabelecimento de uma dieta saudável e regular escovação dos dentes com uma pasta de dentes fluoretada, utilização do fio dental, aplicação de pit e selantes de fissura, limpeza profissional de dentes se necessária, aplicação de vernizes concentrados fluoretados e exames dentários regulares para detectar a doença precocemente. É por esta razão que o estabelecimento de um lar orientado para a saúde dentária aos doze meses de idade e o desenvolvimento de uma alimentação saudável e hábitos de higiene oral são tão importantes em crianças, que levam a hábitos saudáveis que pode durar uma vida inteira.
ATLANTA, EUA: Embora a prevalência global da cárie dentária tenha diminuído nos Estados Unidos ao longo das últimas ...
XANGAI, China: A erosão dentária é um problema relativamente frequente entre pacientes mais jovens em muitos países ao redor do ...
CLEVELAND, Ohio, EUA: Pesquisadores da Escola de Medicina Dentária da Universidade Case Western Reserve descobriram que cerca de 7% das crianças entre 9 e...
JODHPUR, Índia: Um estudo sobre a saúde bucal de crianças com necessidades especiais de saúde no distrito de Jodhpur, na província de Rajasthan, ...
VENEZA, Itália: A Sociedade de Odontologia Digital (DDS) realizou há algumas semanas seu congresso global de 2025 no Lido, recebendo mais de 1.000 ...
CLEVELAND e SEATTLE, EUA: Um estudo publicado recentemente revelou que a prevalência de cárie é menor em crianças assistidas por ...
CAIRNS, Austrália: Uma vez que uma medida mandatória, a fluoretação do abastecimento local da água em Queensland ...
SINGAPURA: Uma nova pesquisa da Universidade Nacional de Singapura (NUS) e do Singapure Institute for Clinical Sciences of the Agency for Science, ...
GENEBRA, Suíça: A Organização Mundial de Saúde (OMS) e seus parceiros de todas as regiões do planeta celebraram no...
ELK GROVE VILLAGE, Ill., EUA: Em uma recente declaração de sua política a Academia Americana de Pediatria (American Academy of ...
Webinar ao vivo
ter. 19 maio 2026
12:00 BRT (Sao Paulo)
Webinar ao vivo
ter. 19 maio 2026
14:00 BRT (Sao Paulo)
Prof. Dr. med. dent. Ivo Krejci
Webinar ao vivo
qua. 20 maio 2026
8:00 BRT (Sao Paulo)
Dr. Graham Carmichael BDSc (Hons), DClinDent (Pros), FRACDS, Dr. Robert Gottlander DDS
Webinar ao vivo
qua. 20 maio 2026
10:00 BRT (Sao Paulo)
Webinar ao vivo
qua. 20 maio 2026
12:00 BRT (Sao Paulo)
Webinar ao vivo
qua. 20 maio 2026
14:00 BRT (Sao Paulo)
Prof. Dr. med. dent. Tim Joda PhD, MSc, eMBA
Webinar ao vivo
qui. 21 maio 2026
13:00 BRT (Sao Paulo)
Dr. Leonardo Muniz DDS, MSC
To post a reply please login or register