Pesquisadores da Universidade de Malmö, na Suécia, receberam uma bolsa para investigar complicações relacionadas ao bruxismo após o tratamento com implantes dentários. (Imagem: thitinonjong/Shutterstock)
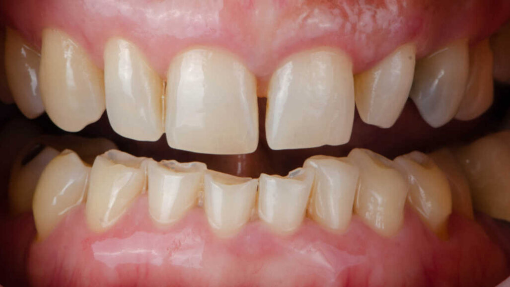
MALMÖ, Suécia: A pesquisa mostrou que o bruxismo não só causa danos aos dentes, mas também pode resultar em falha do implante. Para investigar mais a questão, pesquisadores da Universidade de Malmö estão procurando examinar como o bruxismo afeta a longevidade das restaurações dentárias, avaliando as complicações que a condição pode causar após o tratamento com implante. O estudo é planejado para reduzir o tempo e os custos associados a refazer tratamentos odontológicos.
No segundo trimestre de 2021, o Dental Tribune International relatou uma pesquisa que descobriu que o estresse experimentado durante a pandemia de SARS-CoV-2 levou um número crescente de pacientes a desenvolver bruxismo. Ranger de dentes também foi recentemente associado ao uso excessivo de smartphones, que é um problema comum na sociedade atual. Agora, os pesquisadores da Faculdade de Odontologia da Universidade de Malmö estão contemplando como o bruxismo pode afetar a taxa de sobrevivência dos implantes dentários.
A pesquisa recebeu recentemente financiamento em Pesquisa Relacionada à Saúde Bucal pela região Skåne (Odontologisk Forskning i Region Skåne) e é uma colaboração com o Departamento de Próteses da universidade. Comentando a pesquisa, a autora correspondente, Dra. Birgitta Häggman-Henrikson, professora do Departamento de Dor Orofacial e Função Mandibular da Faculdade de Odontologia da universidade, disse em um comunicado à imprensa: “Há um nível muito alto de competência em termos de materiais e construções dentais e sobrevivência a longo prazo de implantes no Departamento de Próteses. Esta será uma boa combinação com o nosso conhecimento do assunto sobre habilidades motoras da mandíbula e parafunções.”
Autora correspondente, Dra. Birgitta Häggman-Henrikson, professora da Faculdade de Odontologia da Universidade de Malmö. (Imagem: Universidade de Malmö)
O projeto deve durar de três a quatro anos. Os pesquisadores esperam que os dados obtidos com o estudo ajudem a desenvolver métodos e rotinas para relatar e identificar com eficiência os fatores de risco relacionados ao bruxismo.
Segundo Häggman-Henrikson, a sobrevida das restaurações dentárias é afetada por vários fatores, incluindo os materiais utilizados, fatores técnicos e fatores relacionados ao paciente, como o bruxismo. Discutindo como a identificação oportuna desses fatores poderia ajudar a prever o tratamento futuro com implantes, Häggman-Henrikson afirmou: “Certas combinações de fatores são mais problemáticas? Queremos mapear como são essas complicações e, a longo prazo, queremos encontrar os fatores que você precisa estar ciente antes do tratamento. Então, pode-se adaptar o tratamento com base nos fatores do paciente e nos materiais disponíveis.”
HOUSTON, EUA: Um novo estudo piloto sugeriu que o uso de toxina botulínica pode ser um meio viável para tratar pessoas que sofrem de bruxismo. Em estudo ...
AL-NABEK, Síria: Anos de conflito deixaram profundas cicatrizes psicológicas na futura força de trabalho da área da saúde na Síria. Uma nova pesquisa ...
Formação
Webinar ao vivo qua. 29 abril 2026 20:00 BRT (Sao Paulo)
MANCHESTER, Inglaterra: Muitos profissionais da odontologia utilizam técnicas comportamentais, juntamente com orientações de rotina sobre higiene bucal, ...
BRUXELAS, Bélgica: A Sociedade Europeia de Alinhadores (EAS) inaugurou hoje a sétima edição de seu congresso científico anual, marcando uma década de ...
To post a reply please login or register