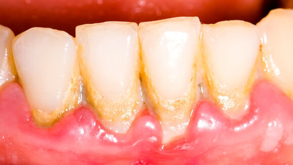
CHICAGO, Ill., EUA: Com a colaboração da Federação Européia de Periodontologia (EFP), a Academia Americana de Periodontologia (AAP) liberou uma série de dados que evidencia cientificamente a relação próxima entre doença periodontal e outras doenças sistêmicas, como o diabetes e doenças cardiovasculares. Os dados também fornecem aos dentistas informações úteis sobre o tratamento de pacientes com um certo risco de saúde.
O caderno especial foi compilado durante o encontro da EFP e AAP no workshop de periodontologia. Ele inclui dados dos quatro grupos de trabalho que reuniram-se no simpósio de Segóvia, Espanha, em novembro do ano passado. Mais de 90 especialistas internacionais juntaram-se para reavaliarem o atual dado epidemiológico e testarem os resultados da ligação entre periodontite e outras doenças sistêmicas, com o objetivo de traduzirem o estado científico para recomendações específicas a médicos, políticos e público.
Os cientistas descobriram uma forte evidência epidemiológica de que a periodontite aumenta o risco de doença cardiovascular, entre outras. Eles, portanto, recomendaram que os dentistas conversassem sobre os fatores de risco, incluindo a hipertensão e obesidade, com seus pacientes. Além disso, os cientistas foram capazes de estalecer a ligação entre a periodontite materna e resultados adversos durante a gravidez. Entretanto, não havia evidência suficiente para a recomendação de terapia periodontal como um meio de melhora às adversidades na gestação.
De acordo com o Dr. Robert Genco da Universidade de Buffalo, Universidade do Estado de Nova Iorque, co-presidente do comitê de organização do workshop, aproximadamente metade dos adultos americanos tem periodontite. “Sendo assim, é imperativo informar os pacientes sobre o aumento do risco das doenças sistêmicas”, disse ele.
Todos os dados estão na atual edição online do Journal of Periodontology (Jornal de Periodontologia). Esses também serão publicados no Journal of Clinical Periodontology (Jornal de Periodontologia Clínica). A pesquisa foi patrocinada, através de doação educacional, pela Colgate-Palmolive.
O resumo e as conclusões do workshop serão apresentados na conferência de imprensa da EFP no dia 4 de Maio no Simpósio Internacional de Osteologia em Mônaco.
ORLANDO, Flórida, EUA: Em um novo estudo, os pesquisadores compararam o estado de saúde bucal de mulheres com ruptura de membranas pré-termo no ...
MALMÖ, Suécia: A perda dentária, o resultado final da periodontite, já havia sido associada a um risco aumentado de doenças cardiovasculares. Um estudo...
Dra. Lenka Banasova dirige seu próprio centro odontológico, o Pearl Dental, na capital eslovaca de Bratislava, onde ela tem uma equipe apaixonada de ...
STRATFORD, N. J., EUA: De acordo com um estudo recentemente publicado, bisfenol-A (BPA), um plastificante comum usado em uma variedade de embalagens para ...
PERTH, Austrália: A natação regular pode proporcionar uma infinidade de benefícios que são importantes para a saúde cardiovascular e sistêmica. Um ...
PENSILVÂNIA, EUA: A obesidade infantil em todo o mundo ocidental está se tornando um problema comum. Em um novo estudo que pode ajudar na compreensão do ...
KUOPIO, Finlândia: Um amplo estudo populacional finlandês avaliou a periodontite utilizando biomarcadores salivares — em vez de exame clínico e ...
HELSINKI, Finlândia: Em um estudo recente realizado na Universidade de Helsinki, na Finlândia, pesquisadores investigaram se anormalidades na saúde bucal...
CINGAPURA: A pele e os dentes compartilham origens de tecido ectodérmico, e vários estudos demonstraram uma associação entre dermatite atópica e ...
MADRID, Espanha/PORTO ALEGRE, Brasil: Embora os pesquisadores tenham previamente investigado e analisado a relação entre periodontite e obesidade, pouca ...
Webinar ao vivo
ter. 19 maio 2026
12:00 BRT (Sao Paulo)
Webinar ao vivo
ter. 19 maio 2026
14:00 BRT (Sao Paulo)
Prof. Dr. med. dent. Ivo Krejci
Webinar ao vivo
qua. 20 maio 2026
8:00 BRT (Sao Paulo)
Dr. Graham Carmichael BDSc (Hons), DClinDent (Pros), FRACDS, Dr. Robert Gottlander DDS
Webinar ao vivo
qua. 20 maio 2026
10:00 BRT (Sao Paulo)
Webinar ao vivo
qua. 20 maio 2026
12:00 BRT (Sao Paulo)
Webinar ao vivo
qua. 20 maio 2026
14:00 BRT (Sao Paulo)
Prof. Dr. med. dent. Tim Joda PhD, MSc, eMBA
Webinar ao vivo
qui. 21 maio 2026
13:00 BRT (Sao Paulo)
Dr. Leonardo Muniz DDS, MSC
To post a reply please login or register