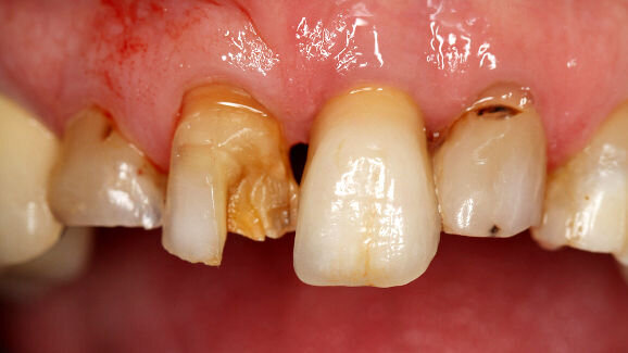
ALEXANDRIA, Va., EUA: Ontem, as Associações Internacional e Americana para Pesquisa Dental liberaram um artigo sobre a carga global de cáries não tratadas, periodontite e perda severa de dentes. O artigo mostrou que a carga das condições bucais aumentou nos últimos 20 anos em aproximadamente 20% devido, principalmente, ao aumento e envelhecimento da população.
No estudo, o autor líder Dr. Wagner Marcenes, professor da Barts e da Escola de Medicina e Odontologia na Universidade de Londres Queen Mary, e seu time compararam as descobertas de 1990 e 2010 do Estudo da Carga Global de Doenças, Lesões e Fatores de Risco. Os estudos estimaram a carga de 291 doenças e lesões em 1990, 2005 e 2010 nas oito maiores regiões do mundo.
Os pesquisadores descobriram que as condições bucais tiveram alta prevalência em 2010, afetando coletivamente um estimado de 3.9 bilhões de pessoas em todo o mundo. A cárie não tratada em dentes permanentes foi a condição que mais prevaleceu (35%). A periodontite severa ficou em 6ª posição, afetando 11 % da população mundial, e a perda severa de dente em 36ª condição prevalente.
Em geral, as condições bucais classificaram-se entre as 100 causas de disability-adjusted life years - DALYs (anos de vida perdidos por incapacidade), que é a soma de anos perdidos devido a óbito prematuro e anos de vida com incapacidade. Enquanto a DALYs de cáries não tratadas e periodontite severa aumentou, a DALYs de perda de dente severa diminuiu.
Os pesquisadores concluíram que a carga global das condições bucais aumentou entre 1990 e 2010, enquanto a redução foi observada em todas as outras condições. O efeito foi atribuído ao aumento e envelhecimento populacional no mundo.
O artigo, intitulado "Global Burden of Oral Conditions in 1990–2010: A Systematic Analysis" (A Carga Global das Condições Bucais em 1990-2010: Uma Análise Sistemática), foi publicado on-line no Journal of Dental Research antes da versão impressa.
GUIYANG, China: A periodontite grave continua a representar um problema crescente para a saúde bucal global. Novos dados do Estudo Global da Carga de ...
NEW BRUNSWICK, N. J. , e FILADÉLFIA, EUA: De acordo com o Centers for Disease Control and Prevention, 2,3 milhões de norte-americanos fumam ...
COPENHAGEN, Dinamarca: Uma série de estudos recentes mostraram que o cálculo dentário de amostras arqueológicas pode ser uma fonte rica para melhor ...
NEW YORK, EUA: Muitas pessoas desfrutam de uma bebida e, agora, pesquisadores da Escol de Medicina da Universidade New York (NYU- sigla em inglês) ...
O número de pacientes adultos na clínica ortodôntica tem aumentado significativamente nos últimos anos, representando hoje 20% do...
Greenville, NC, EUA: À medida que as sociedades ocidentais cada vez mais se conformam com as desigualdades que mancharam suas histórias, abordar as ...
RUGBY, UK / BOISE, Idaho, EUA: A incidência de câncer de boca está aumentando globalmente e a conscientização sobre o câncer de boca permanece baixa. ...
CHICAGO, EUA: Uma pesquisa da Associação Dentária Americana (ADA sigla em inglês) descobriu que mais pacientes desenvolveram bruxismo como resultado do ...
NOVA IORQUE, EUA: Em 23 de setembro, as Nações Unidas realizaram a reunião High-Level Meeting (HLM) sobre Universal Health Coverage- UHC (Cobertura ...
JACARTA, Indonésia: Uma iniciativa de teleodontologia em larga escala na Indonésia ajudou as pessoas a escovar os dentes com mais frequência e aumentou a...
Webinar ao vivo
qua. 29 abril 2026
20:00 BRT (Sao Paulo)
Dr. Renato Leonardo D.M.D.
Webinar ao vivo
qui. 30 abril 2026
14:00 BRT (Sao Paulo)
Webinar ao vivo
dom. 3 maio 2026
13:00 BRT (Sao Paulo)
Dr. Rickard Brånemark MSc, MD, PhD, Dr. Robert Gottlander DDS
Webinar ao vivo
dom. 3 maio 2026
21:00 BRT (Sao Paulo)
Webinar ao vivo
ter. 5 maio 2026
11:00 BRT (Sao Paulo)
Webinar ao vivo
ter. 5 maio 2026
13:00 BRT (Sao Paulo)
Webinar ao vivo
ter. 5 maio 2026
14:00 BRT (Sao Paulo)
Dr. Maximilian Dobbertin M.Sc
To post a reply please login or register