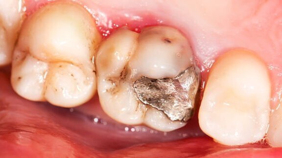
O uso de mercúrio em materiais de restauro odontológico tem uma longa história. Enquanto preenchimentos de amálgama ainda são populares entre dentistas tanto de países desenvolvidos quanto em desenvolvimento, os efeitos tóxicos dos restos de metal são alvo de controvérsias.
Na minha clínica já não realize restaurações com amálgama há 15 anos, não por ser tóxico, mas por que não é naturo-mimético e tais restaurações exigem prepares mais invasivos do dente. Agora temos diversos materiais de restaurações adesivas coloridas a disposição como alternativa à amálgama. Por isso, seu uso em clinicas depende muito da mentalidade e escolha do dentista e paciente. Pessoalmente acredito que se um dentista pretende atuar sem danos em sua filosofia clinica e adotar técnicas de restauros menos invasivas para alcançar resultados naturo-miméticos, então a amálgama de prata já não tem lugar em sua clínica.
Quando discutimos o banimento na odontologia de materiais de restauro que contêm mercúrio, devemos considerar o que temos ensinado aos nossos estudantes de graduação. Se olharmos com cuidado para a escola odontológica da Ásia, notaremos que quase todos os departamentos de odontologia ainda ensinam procedimentos convencionais de restauro com amálgama. Eles também focam em princípios de G.V. Black de preparo da cavidade, que hoje são considerados muito invasivos e estão se tornando obsoletos na odontologia de qualidade. A menos que se reconsiderem as técnicas de restauração e os materiais na área acadêmica, vai ser muito difícil incentivar mudanças na prática clínica.
Como dentista e incentivador da odontologia pouco invasiva, tenho promovido materiais de restauração adesiva colorida. Eu clamo a jovens dentistas que realizem procedimentos pouco invasivos e odontologia naturo-mimétrica para saúde e beleza de longo prazo dos dentes e sorrisos.
LEIPZIG, Alemanha: Os principais fabricantes de produtos odontológicos começaram o ano com otimismo cauteloso e muita atenção ao que está sendo feito. ...
MUNIQUE, Alemanha: Com o uso cada vez mais consolidado da inteligência artificial (IA) na odontologia, surgem questionamentos sobre a justificativa para ...
CHICAGO, EUA: Apesar do crescente reconhecimento da importância da saúde bucal para a saúde geral, o acesso a cuidados odontológicos permanece ...
SACRAMENTO, Califórnia, EUA: O uso de amálgama dental contribui para a poluição por mercúrio e representa uma ameaça ambiental para os ecossistemas. ...
LONDRES, Inglaterra: A crise odontológica no Reino Unido é um problema de saúde pública altamente significativo, tendo se agravado nos últimos anos ...
ATLANTA, EUA: Vyne Dental, um líder de mercado reconhecido em troca de informações de saúde e gerenciamento de comunicação eletrônica, anunciou os ...
CHICAGO, EUA: Em fevereiro, a organização de caridade Oral Health America (OHA) promoveu a sua 24ª Gala e Beneficente Anual com o tema ...
LEIPZIG, Alemanha: Meses após a sua primeira detecção em Wuhan, uma das maiores cidades da China, os efeitos do surto em curso de coronavírus (já ...
SAN JOSE, Calif., EUA: De acordo com um novo artigo, o mercado mundial de suprimentos odontológicos preventivos está estimado a atingir R$ 918...
SAN JOSE, Calif., EUA: De acordo com um novo artigo, o mercado mundial de suprimentos odontológicos preventivos está estimado a atingir R$ 918...
Webinar ao vivo
qui. 14 maio 2026
13:00 BRT (Sao Paulo)
Webinar ao vivo
qui. 14 maio 2026
15:00 BRT (Sao Paulo)
Prof. Hani Ounsi DDS PhD FICD
Webinar ao vivo
ter. 19 maio 2026
12:00 BRT (Sao Paulo)
Webinar ao vivo
ter. 19 maio 2026
14:00 BRT (Sao Paulo)
Prof. Dr. med. dent. Ivo Krejci
Webinar ao vivo
qua. 20 maio 2026
8:00 BRT (Sao Paulo)
Dr. Graham Carmichael BDSc (Hons), DClinDent (Pros), FRACDS, Dr. Robert Gottlander DDS
Webinar ao vivo
qua. 20 maio 2026
10:00 BRT (Sao Paulo)
Webinar ao vivo
qua. 20 maio 2026
14:00 BRT (Sao Paulo)
Prof. Dr. med. dent. Tim Joda PhD, MSc, eMBA
To post a reply please login or register