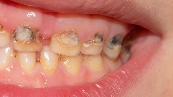
SÃO FRANCISCO, EUA: Uma nova pesquisa dos EUA sugeriu que o alto nível da bactéria cariogênica na boca materna pode ser um indicativo de cáries na infância dos filhos. O estudo recentemente publicado mostrou que a bactéria da saliva materna está associada às infecções bucais das crianças e também prevê o aumento da ocorrência de cáries na infância.
No estudo, os pesquisadores da Universidade da Califórnia coletaram amostras de bactéria dos dentes e saliva com intervalo de três a seis meses de mães de baixa renda com origem hispânica e seus filhos desde o ventre até 36 meses pós-parto para calcular a incidência de cáries na criança. No total, o estudo incluiu 243 pares de mãe e filho.
Durante o estudo, os pesquisadores descobriram que os níveis na saliva de Streptococci mutans e lactobacilos foram maiores entre as mães com crianças afetadas por cáries comparados com crianças sem cáries. No geral, eles observaram que a incidência de cáries dobrava em crianças cujas mães possuíam níveis elevados das bactérias.
De acordo com a Associação Dentária Americana, a bactéria cariogênica e, em particular, a Streptococci mutans são transmitidas assim que os primeiros dentes nascem. Deste modo, a associação recomenda que os pais, incluindo as grávidas, consultem um dentista para a diminuição dos níveis da mutans na mãe para diminuir o risco da criança desenvolver cáries no início da infância.
O estudo, intitulado “Os Níveis de Bactéria Bucal Materna Prevê o Desenvolvimento de Cáries no Início da Infância” (Maternal Oral Bacterial Levels Predict Early Childhood Caries Development), foi publicado on-line em dezembro de 2013, na revista Journal of Dental Research, antes da versão impressa.
ALEXANDRIA, Virgínia, EUA: Proteger as crianças contra o início precoce da cárie dentária é algo que todos os dentistas devem considerar uma ...
HONG KONG: De acordo com o estudo Global Burden of Disease, a cárie precoce na infância afeta aproximadamente 530 milhões de crianças em todo o mundo, ...
SONGKHLA, Tailândia: Um novo estudo forneceu evidências adicionais de que os probióticos são benéficos contra vários...
PITTSBURGH, EUA: Muitos pacientes com câncer na cavidade bucal ou orofaringe desenvolvem recorrência ou novo câncer, mais frequentemente ...
SENDAI, Japão: No Japão, pesquisadores investigaram a associação da baixa saúde bucal com o ficar confinado em casa na ...
NOVA IORQUE, EUA: Pesquisadores descobriram que o risco de desenvolver câncer de pâncreas está associado a uma determinada ...
Após o evento de Portugal, um simpósio acontecerá em Sochi (Rússia) em junho, seguido de um em Munique (Alemanha) também ...
TERESINA, Brasil / BORDEAUX, França: Um novo estudo evidencia que a saúde bucal se deteriora durante hospitalizações, mesmo que ...
SEATTLE, EUA: É sabido que os primeiros 1.000 dias após a concepção afeta significativamente a expectativa de vida de uma pessoa...
TORONTO, Canadá: Ao afetar 60–90 por cento das crianças em idade escolar e quase todos os adultos, as cáries dentárias ...
Webinar ao vivo
ter. 19 maio 2026
12:00 BRT (Sao Paulo)
Webinar ao vivo
ter. 19 maio 2026
14:00 BRT (Sao Paulo)
Prof. Dr. med. dent. Ivo Krejci
Webinar ao vivo
qua. 20 maio 2026
8:00 BRT (Sao Paulo)
Dr. Graham Carmichael BDSc (Hons), DClinDent (Pros), FRACDS, Dr. Robert Gottlander DDS
Webinar ao vivo
qua. 20 maio 2026
10:00 BRT (Sao Paulo)
Webinar ao vivo
qua. 20 maio 2026
12:00 BRT (Sao Paulo)
Webinar ao vivo
qua. 20 maio 2026
14:00 BRT (Sao Paulo)
Prof. Dr. med. dent. Tim Joda PhD, MSc, eMBA
Webinar ao vivo
qui. 21 maio 2026
13:00 BRT (Sao Paulo)
Dr. Leonardo Muniz DDS, MSC
To post a reply please login or register