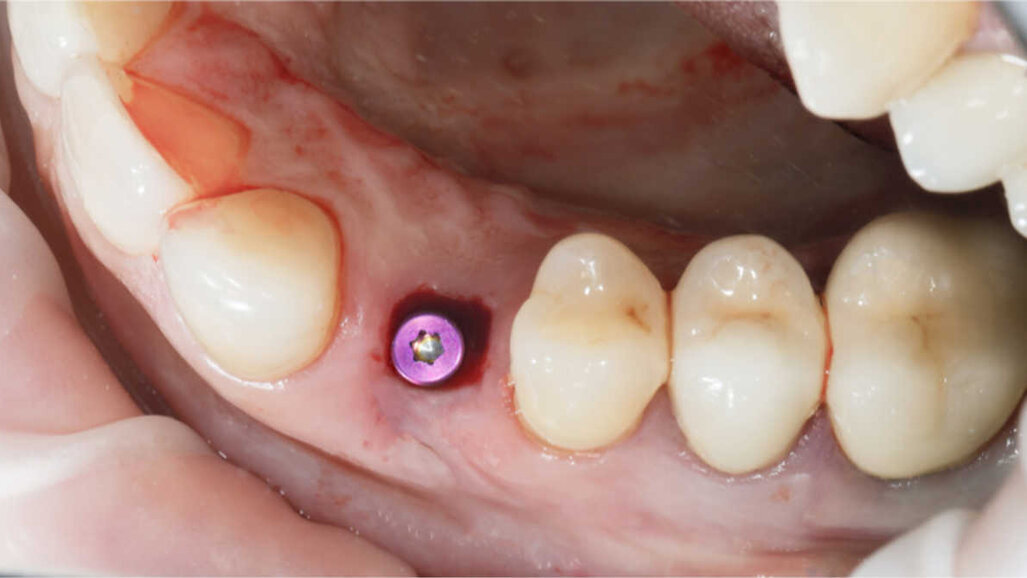
BRISBANE, Austrália: Garantir a formação de uma vedação sólida de tecidos moles na superfície do pilar dental é crucial para proteger o tecido subjacente do ambiente bucal rico em micróbios. Nos últimos anos, a nanotecnologia tem sido cada vez mais aplicada na Odontologia. Agora, pesquisadores da Universidade de Queensland aplicaram nanoporos de titânia (TNPs- sigla em inglês) na superfície do titânio. O objetivo da pesquisa é modificar com nanoporos implantes dentários, a fim de melhorar a integração de tecidos moles e a cicatrização de feridas.
"A baixa integração entre o implante e o tecido circundante é uma das principais causas de falha do implante dentário", disse a dra. Karan Gulati, da escola de odontologia da universidade, em um comunicado à imprensa. "Se a vedação entre o implante e o tecido gengival circundante falhar, isso poderá resultar na entrada de bactérias no implante e causar infecção".
Como solução para esse problema, a equipe de pesquisa propôs a fabricação de nanoporos—furos de 40 a 80 nm de diâmetro—para cobrir toda a superfície do pilar do implante dentário. Usando anodização eletroquímica, os pesquisadores fabricaram TNPs mecanicamente robustos em superfícies de titânio. Estes foram comparados com os controles de titânio clinicamente relevantes, e uma viabilidade celular melhorada foi observada nos TNPs. De acordo com Gulati, as células dos tecidos moles aderiram bem aos nanoporos, resultando em uma melhor formação da vedação dos tecidos moles.
A falha no implante dentário representa um ônus econômico e de saúde na Austrália, destacou Gulati. "A taxa de falha dos implantes dentários geralmente é de 5% a 10% e, para fumantes, pode chegar a 20%", disse ele. "A falha é mais comum em pacientes idosos, fumantes, pessoas com falta de higiene bucal e pessoas com problemas de saúde contínuos, como diabetes e osteoporose", explicou Gulati. Assim, a falha do implante aumenta ainda mais a carga financeira para os pacientes, pois há despesas adicionais além do custo do implante original.
Gulati espera que os testes em humanos comecem no próximo ano: "Otimizamos os protocolos e as terapias, agora estamos prontos para transformar a pesquisa em realidade". Gulati acrescentou: "No momento, estamos buscando financiamento para nos permitir comprar equipamentos adicionais e recrutar pessoal para que a tradução clínica possa começar".
O estudo, intitulado “Anodized anisotropic titanium surfaces for enhanced guidance of gingival fibroblasts”, foi publicado na edição de julho de 2020 da Materials Science and Engineering: C.
Etiquetas:
Em um cenário de saúde em rápida evolução, a integração de cuidados médicos e odontológicos está ganhando cada vez mais atenção. O Prof. Mark S....
CAMBRIDGE, Massachusetts, EUA: A fragilização por hidrogênio causa falhas súbitas e caras de componentes metálicos em uma ampla gama de indústrias. ...
CLEVELAND, EUA: Com a idade, as mulheres na pós-menopausa com osteoporose têm maior risco de perder os dentes. Pesquisadores da Case Western Reserve ...
O Dr. Giovanni Zucchelli é professor da Universidade de Bolonha na Itália e presidente eleito da Academia Italiana de Osseointegração. Ele é ...
ORLANDO, Flórida, EUA: Em três novos estudos, pesquisadores descobriram recentemente que o peróxido de hidrogênio, mesmo na concentração usada em ...
SÃO PAULO – De acordo com uma pesquisa brasileira, o peróxido de hidrogênio, uma substância comumente utilizada como agente ...
PLYMOUTH, Reino Unido: A utilidade das células tronco na regeneração de tecidos dentários e de outros tecidos corporais foi estabelecida por numerosos ...
LEIPZIG, Alemanha: Um dos principais objetivos do tratamento por implante dentário é otimizar a função e a estética, ...
FORT LAUDERDALE, Flórida, EUA: A Patent, especialista suíça em implantes dentários, foi nomeada “Fabricante de Implantes Dentários do Ano na ...
LUCERNE, Suíça: No início deste ano, 43 especialistas de três organizações participaram de uma reunião de consenso única. O objetivo da reunião ...
Webinar ao vivo
ter. 19 maio 2026
12:00 BRT (Sao Paulo)
Webinar ao vivo
ter. 19 maio 2026
14:00 BRT (Sao Paulo)
Prof. Dr. med. dent. Ivo Krejci
Webinar ao vivo
qua. 20 maio 2026
8:00 BRT (Sao Paulo)
Dr. Graham Carmichael BDSc (Hons), DClinDent (Pros), FRACDS, Dr. Robert Gottlander DDS
Webinar ao vivo
qua. 20 maio 2026
10:00 BRT (Sao Paulo)
Webinar ao vivo
qua. 20 maio 2026
12:00 BRT (Sao Paulo)
Webinar ao vivo
qua. 20 maio 2026
14:00 BRT (Sao Paulo)
Prof. Dr. med. dent. Tim Joda PhD, MSc, eMBA
Webinar ao vivo
qui. 21 maio 2026
13:00 BRT (Sao Paulo)
Dr. Leonardo Muniz DDS, MSC
To post a reply please login or register