Dr. Mahfuz Rahman acredita que todos os dentistas devem ser capazes de tirar fotografias dentárias estéticas de alta qualidade. (Imagem: Anatoliy Cherkas/Shutterstock)
Dr. Mahfuz Rahman é dentista e fundador do Frisco Dental Studio no Texas, nos EUA. Ele também é um entusiasta da fotografia odontológica e tem grande prazer em capturar a confiança e o entusiasmo de seus pacientes após o tratamento odontológico. Este mês, ele compartilhará sua experiência em um webinar sobre fotografia odontológica adaptado especificamente para profissionais de odontologia no campus da Dentsply Sirona Academy. Na preparação para o evento, o Dental Tribune International teve o prazer de falar com o Dr. Rahman sobre a importância de tirar excelentes fotografias clínicas na prática odontológica contemporânea e como isso pode ajudar a melhorar o atendimento e a comunicação com o paciente.
Dr. Mahfuz Rahman. (Imagem: Mahfuz Rahman)
Dr. Rahman, quais são os princípios básicos da fotografia dentária que todo dentista deve conhecer e que equipamento um dentista deve possuir para capturar imagens dentárias de alta qualidade? Todo dentista deve ser capaz de tirar fotografias dentárias estéticas de alta qualidade com retração, iluminação e enquadramento adequados. Eles também devem conhecer os princípios básicos da abertura ou f-stop. Dominar esse aspecto pode ajudar os profissionais de odontologia a produzir sempre fotografias consistentemente bonitas.
O equipamento essencial inclui câmeras digitais reflex de lente única (DSLR), lentes macro, flashes externos montados em suportes de flash de ponto duplo e transmissores ou receptores de flash.
Na sua opinião, quão importante é para os consultórios odontológicos modernos dominar a fotografia odontológica? A fotografia é absolutamente crítica para a prática odontológica moderna. Na era do Instagram, nossas páginas de mídia social são os cartões de visita modernos para consultórios odontológicos. Fotografias estéticas de casos indicam aos pacientes em potencial o tipo de odontologia realizada naquele consultório, bem como o compromisso do consultório com a qualidade e os detalhes.
Que efeito a fotografia odontológica tem na comunicação com o paciente e na documentação do caso? Ótimas fotografias são uma ferramenta maravilhosa para se comunicar com os pacientes e ajudar na aceitação do caso. As fotografias permitem que o paciente e o profissional odontológico articulem melhor as preocupações clínicas entre si. Eles permitem que o dentista se comunique melhor com os laboratórios de prótese dentária e forneça aos pacientes algo tangível que eles possam consultar durante o diagnóstico.
Você poderia compartilhar algumas técnicas infalíveis para capturar imagens dentárias de alta qualidade? Usar uma câmera DSLR com lente macro é uma necessidade absoluta. Os profissionais de odontologia podem então anexar um suporte de ponto duplo à câmera e conectar um flash de ponto duplo com soft boxes. Feito isso, a principal coisa a dominar é o botão f-stop da câmera. Para fotografias intra-orais utiliza-se f/25 a f/29, e para fotografias de retrato, f/13 a f/15.
Que outros tópicos você discutirá em seu webinar? Examinaremos diferentes configurações intra-orais e de retrato para escritórios grandes e pequenos. Consideraremos como posicionar o paciente de forma eficaz e quais acessórios usar. Também discutiremos como utilizar procedimentos simples para uma boa fotografia clínica, para que qualquer membro da equipe no consultório possa tirar lindas fotografias.
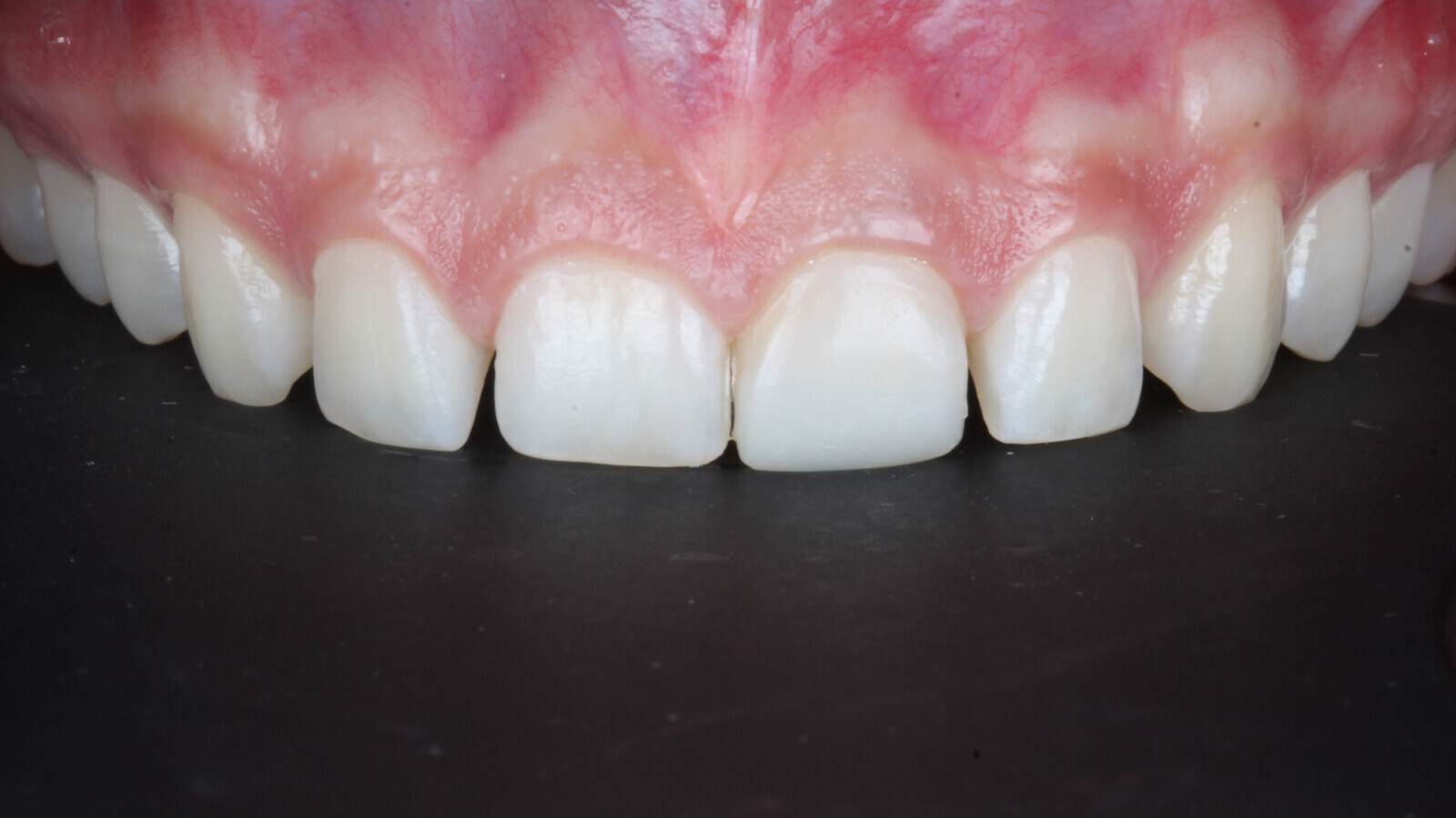
A fotografia odontológica é uma excelente ferramenta para apresentação de casos e permite ao paciente visualizar seu sorriso após o tratamento. (Imagem: Mahfuz Rahman)
Adicionar fotografias intraorais aos arquivos dos pacientes melhora significativamente a documentação. (Imagem: Mahfuz Rahman)
Nota editorial:
O próximo webinar do Dr. Mahfuz Rahman é intitulado “Dominando a fotografia odontológica: eleve sua prática com imagens atraentes” e será realizado no dia 20 de março às 20h. HUSA. Mais informações sobre o Campus da Dentsply Sirona Academy podem ser encontradas aqui.
GENEBRA, Suíça: Um novo e abrangente levantamento da Federação Dentária Internacional (FDI) revelou que a prática odontológica ilegal representa uma ...
ESTRASBURGO, França: A ansiedade odontológica é uma preocupação generalizada na odontopediatria, levando frequentemente à interrupção do tratamento ...
LONDRES, Inglaterra: O estado atual da odontologia de saúde pública no Reino Unido é, sem dúvida, lamentável. Atormentado por problemas financeiros, de...
COPENHAGUE, Dinamarca: Um novo comentário interdisciplinar de pesquisadores dinamarqueses pede que a odontologia enfrente uma de suas barreiras mais ...
Formação
Webinar ao vivo qui. 23 abril 2026 12:00 BRT (Sao Paulo)
MANCHESTER, Inglaterra: Muitos profissionais da odontologia utilizam técnicas comportamentais, juntamente com orientações de rotina sobre higiene bucal, ...
BRUXELAS, Bélgica: A Sociedade Europeia de Alinhadores (EAS) inaugurou hoje a sétima edição de seu congresso científico anual, marcando uma década de ...
To post a reply please login or register