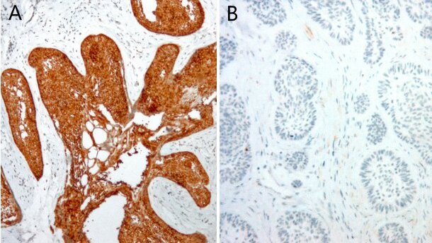
TURKU, Finlândia: Um grupo de pesquisadores finlandeses descobriu um gene mutante no ameloblastoma, um tumor do maxilar. A descoberta pode melhorar significativamente o tratamento, pois um medicamento que combate tal mutação já existe.
Ameloblastoma é um tumor odontogênico com alta tendência à recidiva após o tratamento. É encontrado com maior frequência na mandíbula. Ameloblastomas são tratados com cirurgia, resultando geralmente em tecidos deficientes no maxilar e perda de vários dentes. Uma terapia medicamentosa poderia reduzir a necessidade cirúrgica e a reincidência do ameloblastoma; entretanto, descobrir tal tratamento requer um melhor entendimento sobre patologia do tumor.
Pesquisadores pesquisam a mutação que causa o ameloblastoma por décadas, e essa foi descoberta num paciente que reside na região Leste da Finlândia. O grupo que fez a descoberta inclui pesquisadores da Universidade de Turku (UT) e Universidade do Leste da Finlândia (ULF). De acordo com os líderes do grupo Klaus Elenius e Kristiina Heikinheimo, professor de Medicina Bioquímica da UT e professora de Ciências de Diagnose Bucal da ULF, a descoberta é um avanço científico. O significado da descoberta é enfatizado pelo ato de que implica diretamente no tratamento, pois um medicamento alvo para a mutação em questão já existe.
O estudo, intitulado “Alta frequância das mutações de BRAF V600E no ameloblastoma” (High frequency of BRAF V600E mutations in ameloblastoma), foi publicado em março na edição do Journal of Pathology.
NORMAN, Okla., EUA: Um time internacional de pesquisadores encontrou a primeira evidência do consumo de leite em antigos cálculos ...
CLEVELAND, Ohio, EUA: Novas descobertas por uma equipe de pesquisa americana referente a certas bactérias e fungos podem abrir caminho para o ...
CANTERBURY, Reino Unido: Uma nova pesquisa conduzida na Universidade de Kent, em Canterbury, encontrou relação entre as taxas de crescimento ...
HONG KONG: O câncer bucal continua sendo uma preocupação global significativa para a saúde, destacando a necessidade urgente de fortalecer os esforços ...
CAMBRIDGE, Reino Unido: Uma mulher de Cambridge reportou à prefeitura ter encontrado parte de dente em queijo comprado num supermercado bastante ...
BIRMINGHAM, Alabama, EUA: Em colaboração com uma equipe internacional de pesquisadores, cientistas da Universidade do Alabama em ...
KYOTO, Japão: Micro hemorragias cerebrais (Cerebral Microbleeds- CMBs) têm atraído a atenção como um importante marcador ...
PORTLAND, Maine, EUA: Existem apenas alguns estudos que examinaram não apenas as pressões que os estudantes têm de enfrentar nas escolas de odontologia, ...
LOS ANGELES, EUA: Pesquisadores examinaram recentemente os dentes decíduos de crianças que moram perto da fábrica da Exide Technologies em Verona, ...
MEDFORD, Massachusetts, EUA: O estresse pode se apresentar como uma ampla gama de sintomas físicos, emocionais e sociais, como irritabilidade, dor de ...
Webinar ao vivo
qua. 29 abril 2026
20:00 BRT (Sao Paulo)
Dr. Renato Leonardo D.M.D.
Webinar ao vivo
qui. 30 abril 2026
14:00 BRT (Sao Paulo)
Webinar ao vivo
dom. 3 maio 2026
13:00 BRT (Sao Paulo)
Dr. Rickard Brånemark MSc, MD, PhD, Dr. Robert Gottlander DDS
Webinar ao vivo
dom. 3 maio 2026
21:00 BRT (Sao Paulo)
Webinar ao vivo
ter. 5 maio 2026
11:00 BRT (Sao Paulo)
Webinar ao vivo
ter. 5 maio 2026
13:00 BRT (Sao Paulo)
Webinar ao vivo
ter. 5 maio 2026
14:00 BRT (Sao Paulo)
Dr. Maximilian Dobbertin M.Sc
To post a reply please login or register